Zirconia Fixed Bridge - South Elgin, IL

Improve Your Smile and
Life with Ceramic Steel

Schedule Now

Superb Strength for Forever Smiles

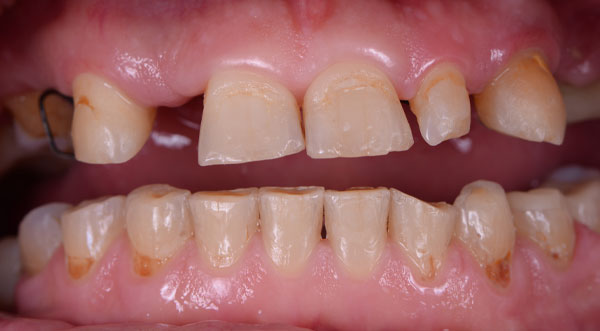
If you have damaged or missing teeth, failing dental work or ill-fitting dentures, you’ve likely experienced physical and emotional repercussions. Missing teeth can lead to shifting of other teeth, which can significantly impact your bite, increase your risk of tooth decay and gum disease and negatively impact your self-esteem. Traditional dentures can click, slip and irritate your gums, while underlying bone density deteriorates progressively. If you’re looking for a solution to improve your ability to chew food comfortably, speak clearly and smile with confidence, we have the answer! Dr. Rick Brar offers zirconia bridges at Envision A Smile Dentistry because this dental material boasts incredible tensile strength that earned it the nickname ceramic steel. As such, a dental implant zirconia bridge in South Elgin, IL provides greater stability and long-term function than a traditional bridge. A zirconia bridge attached to dental implants preserves underlying bone density and stimulates new growth because the implants replace your missing natural tooth roots. If you have many missing teeth, a full arch zirconia implant bridge in South Elgin, IL will fully restore your smile function and aesthetics for a more confident, better quality of life.

Advantages of Zirconia Fixed Bridges

zirconia fixed bridge on counter

The Most Durable Tooth Replacement Material

Traditionally, crowns and bridges have been made from porcelain or porcelain fused to metal (PFM) fabricated with a metal-alloy interior and a porcelain exterior. Porcelain by itself offer prettier aesthetics than PFM, but neither of these options is as strong as zirconia. Zirconia is the strongest tooth-colored material used in modern implant dentistry. Zirconia is 10 times stronger than natural tooth enamel and up to five times stronger than porcelain, making it a great choice for individuals with a history of fractured, cracked or otherwise broken restorations made of other materials. In addition, zirconia can better withstand nail biting and teeth grinding (bruxism). Due to its superior strength, a zirconia bridge in South Elgin, IL greatly reduces the need for prosthetic reconstruction or replacement down the road. Last, zirconia has better resistance to hot and cold temperatures, thereby helping to protect against hypersensitivity that can be an issue with other crown materials.

The Proof Is In Our Patients

Zirconia Offers Long-Lasting Cosmetic Benefits

Dr. Rick Brar has specialized training in the zirconia implant bridge protocol and routinely performs these procedures with outstanding results. At Envision A Smile Dentistry, your dental implant zirconia bridge will be custom designed and milled with CAD/CAM technology from a solid block of white zirconia. The zirconia bridge is fabricated to the highest standards for a precision fit and bite, long-term strength and a beautiful appearance. In the hands of master ceramicists, zirconia is easy to modify, shape and color so it perfectly matches existing natural teeth. Zirconia is completely biocompatible with the human body, therefore the cosmetic results will look natural and endure for decades with proper care. When you receive a zirconia bridge in South Elgin, IL, it will look so radiant and natural-looking, no one will know these aren’t your natural teeth unless you tell them.

calculating cost of dental implants

The Cost of Truly Life-Changing Restorations

At Envision A Smile Dentistry, our ultimate goal is to deliver a restoration that exceeds your smile goals. Using state-of-the-art technology, techniques and materials like zirconia helps our team achieve this goal. Although a dental implant zirconia bridge is more expensive than less aesthetically-pleasing and functional options, this restoration will rival your natural smile in terms of strength, beauty and longevity. The cost is greatly influenced by the number of teeth that need to be replaced by dental implants. A zirconia bridge in South Elgin, IL will provide you with durable smile function and beauty that can last a lifetime with proper care. In order to make this truly life-changing restoration more affordable, we accept insurance from several carriers and offer third-party financing.

Schedule An Appointment

I understand the information disclosed in this form may be subject to re-disclosure and may no longer be protected by HIPAA privacy regulations and the HITECH Act.

Find out if you're a

candidate for dental implants

multiple dental implant model

Answer the Following Questions To Learn more about our pricing and financing options.