New Smile, New You
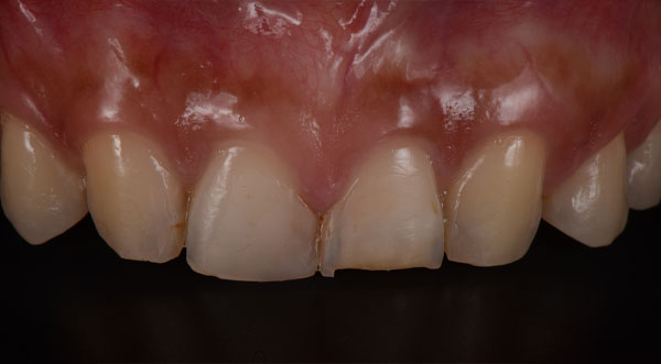
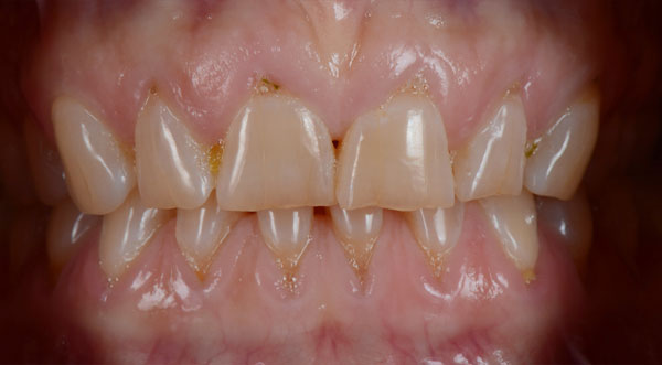
Are you unsatisfied with the way your teeth look? Smile imperfections such as chips, cracks, or stains can make us feel self-conscious about our appearance. At Envision a Smile Dentistry we have helped patients across the St. Charles, IL area feel good about their smile with porcelain veneers. Dental veneers are custom-made to fit your teeth and hide tooth imperfections all while restoring your oral health. While offering a wide range of cosmetic dentistry services, Dr. Rick Brar is uniquely skilled in the art and science of veneer teeth, ensuring your veneers look, feel, and function naturally for a lifetime of radiant smiles!
Am I a Candidate for Porcelain Veneers?
- Discolored teeth
- Stained Teeth
- Crooked Teeth
- Misshapen Teeth
- Tooth Gaps
- Chipped Teeth
- Cracked Teeth
- Uneven Tooth Lines
- Brooken Teeth
Veneer Process with Dr. Brar
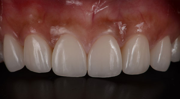
The process of getting veneers may seem simple, but it requires the skilled touch of an experienced cosmetic dentist such as Dr. Brar to ensure the best results. The goal is to enhance the aesthetics of your smile by creating veneers that match your natural teeth and look both attractive and realistic. We’ll start your process with a consultation with Dr. Brar where we will perform a complete oral exam, take various 3D images, discuss your dental concerns, and what you want from your treatment. We’ll then remove a small amount of tooth enamel to prepare your teeth for dental veneers. This ensures a comfortable, precise fit for your veneers. Detailed scans and impressions will be taken to enable the hand-designing of your veneers to the ideal size, shape, and color.
Our porcelain veneers are designed with our patient’s skin tone, gumline, and lip line in mind to ensure a perfect fit that matches the rest of your teeth and facial appearance. Once your veneers are ready, you will return to our office for a fitting. The veneers will then be bonded securely to your teeth. With proper hygiene and care, veneers can last up to 15 years or more. It’s important to maintain good oral hygiene, avoid biting hard objects, and have regular check-ups and cleanings with Dr. Brar to ensure the longevity of your veneers. By following these steps, your dental veneers can help you achieve the smile of your dreams that will last for many years to come!
Are You A Candidate For Veneers?
Transform Your Smile Without the Cost
At Envision a Smile Dentistry we believe everyone should love their smile. If financial worry is holding you back from achieving your perfect smile, don’t fret! We make it a priority to create affordable treatment guides and offer third-party financing options to help with financing your dental needs. Porcelain veneers can change your life and help you feel confident about your appearance.
Complete this short smile Evaluation and receive the following:
If you're a good candidate for veneers
A Digital Smile Design to show you what you will look like with your new veneers!
Pricing and options for treatment
And best of all... a time to speak directly with Dr. Rick Brar. Top Cosmetic Dentists in St. Charles, IL!
